Ultrasounds Blog Posts: From 1-12 Weeks Pregnancy Scan

12 Weeks Pregnant Ultrasound: Embracing the Mag...
In this blog post, let's explore the wonders of the 12 weeks pregnant ultrasound, what to expect, and the remarkable milestones your baby is achieving.
12 Weeks Pregnant Ultrasound: Embracing the Mag...
In this blog post, let's explore the wonders of the 12 weeks pregnant ultrasound, what to expect, and the remarkable milestones your baby is achieving.

11 Weeks Pregnant Ultrasound: Capturing the Won...
In this blog post, we'll explore the wonders of an 11 weeks pregnant ultrasound, what to expect, and how you can prepare for this awe-inspiring experience.
11 Weeks Pregnant Ultrasound: Capturing the Won...
In this blog post, we'll explore the wonders of an 11 weeks pregnant ultrasound, what to expect, and how you can prepare for this awe-inspiring experience.

9 Weeks Pregnant Ultrasound: A Peek into Your B...
In this blog post, we'll delve into the wonders of a 9 weeks pregnant ultrasound, what to expect, and how you can prepare for this heartwarming experience.
9 Weeks Pregnant Ultrasound: A Peek into Your B...
In this blog post, we'll delve into the wonders of a 9 weeks pregnant ultrasound, what to expect, and how you can prepare for this heartwarming experience.

8 Weeks Pregnant Ultrasound: A Glimpse of Your ...
As you eagerly anticipate your ultrasound, you may wonder what you'll see and hear during this crucial appointment. In this blog post, we'll explore what to expect at your 8-week...
8 Weeks Pregnant Ultrasound: A Glimpse of Your ...
As you eagerly anticipate your ultrasound, you may wonder what you'll see and hear during this crucial appointment. In this blog post, we'll explore what to expect at your 8-week...

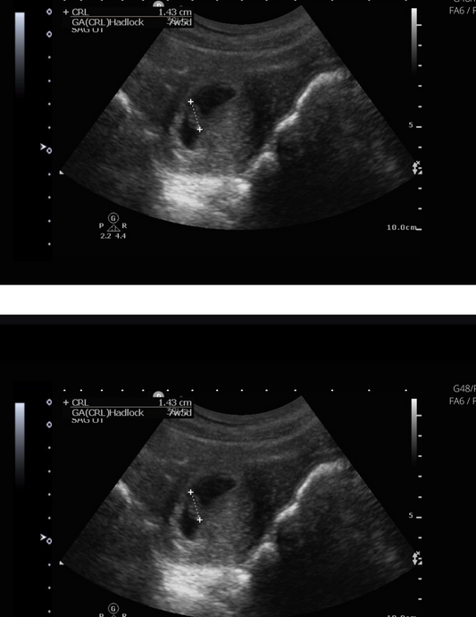
7 Weeks Pregnant Ultrasound: Your Baby's Progre...
In this blog post, we'll explore what to expect during your 7-week ultrasound and answer some common questions to keep you informed and reassured.
7 Weeks Pregnant Ultrasound: Your Baby's Progre...
In this blog post, we'll explore what to expect during your 7-week ultrasound and answer some common questions to keep you informed and reassured.

5 Weeks Pregnant Ultrasound: What to Expect and...
Can You See Anything on a 5 Week Ultrasound? Yes, on a 5-week ultrasound, you might be able to see the gestational sac. This early structure looks like a small,...
5 Weeks Pregnant Ultrasound: What to Expect and...
Can You See Anything on a 5 Week Ultrasound? Yes, on a 5-week ultrasound, you might be able to see the gestational sac. This early structure looks like a small,...
Customizable Ultrasound Picture
We Create Customizable Ultrasound Scan and Videos
-
Customizable Ultrasound Picture. From 3-40 weeks. Personalized Digital Sonogram Picture and Pregnancy Scan Photo with Weeks
Regular price $14.99 USDRegular priceUnit price per -
Fake Ultrasound Video Plus Picture!! Instant Download | All Gestation Weeks (4-40 weeks) |
Regular price $34.99 USDRegular priceUnit price per -
Custom Order | Recreate with Your Own Ultrasound | We Add Names, Change Dates and Any Info |
Regular price $34.00 USDRegular priceUnit price per -
PRINTED & SHIPPED! Personalized Fake Ultrasound Scan | Customizable Sonogram Picture |
Regular price $41.78 USDRegular priceUnit price per